陈绍勤

典型案例图

您所在的位置:首页 > 典型案例图
  首页 >> 典型案例图
根治性全胃切除术
根治性全胃切除术

患者林##,男性,48岁,以2008.07.10于我院行“根治性全胃切除术”,病理分期:PT4N3M0,术后一个月复查CT:肝内多发占位,考虑转移癌。先后予化疗、肝动脉灌注化疗及栓塞、肝脏转移瘤射频消融、粒子植入及再次手术等综合治疗;2014.07.22复查胸部CT示右肺下叶和左肺上叶转移,化疗和肺结节粒子植入等综合治疗。现已无瘤存活8年,2016.6.19门诊随访,一般情况良好,生活质量高。


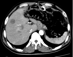
治疗前CT图片


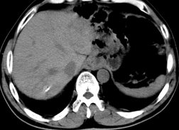
3个月前复查CT图片



咨询服务热线:0591-83735858

地址:福州市台江区五一中路状元巷26号大院内1#楼2楼209单元

Copyright@2016 福建省医务工作者社会服务协会 版权所有