
治疗后复查肝脏CT图...
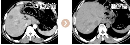
蔡##,男,53岁,2013.6.22因“1.直肠癌 2.右肝转移癌”入住我科,于2013.06.26行“CT引导下肝转移瘤射频消融术”,2013.06.27在全麻下行“腹腔镜下直肠癌切除术+横结肠造瘘术+左侧睾丸鞘膜翻转术”,术后病理PT4N2M1,术后恢复顺利,并予继续化疗等综合治疗,现定期门诊复查,未见复发转移,一般情况良好,生活质量高。
蔡##,男,53岁,2013.6.22因“1.直肠癌 2.右肝转移癌”入住我科,于2013.06.26行“CT引导下肝转移瘤射频消融术”,2013.06.27在全麻下行“腹腔镜下直肠癌切除术+横结肠造...

根治性全胃切除术
患者林##,男性,48岁,以2008.07.10于我院行“根治性全胃切除术”,病理分期:PT4N3M0,术后一个月复查CT:肝内多发占位,考虑转移癌。先后予化疗、肝动脉灌注化疗及栓塞、肝脏转移瘤射频消融、粒子植入及再次手术等综合治疗;2014.07.22复查胸部CT示右肺下叶和左肺上叶转移,化疗和肺结节粒子植入等综合治疗。现已无瘤存活8年,2016.6.19门诊随访,一般情况良好,生活质量高。
患者林##,男性,48岁,以2008.07.10于我院行“根治性全胃切除术”,病理分期:PT4N3M0,术后一个月复查CT:肝内多发占位,考虑转移癌。先后予化疗、肝动脉灌注化疗及栓塞、肝脏转移瘤射频消...