陈绍勤

典型案例图

您所在的位置:首页 > 典型案例图
  首页 >> 典型案例图
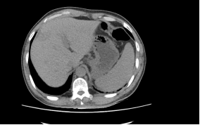
治疗后复查肝脏CT图片
治疗后复查肝脏CT图片

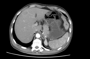
蔡##,男,53岁,2013.6.22因“1.直肠癌 2.右肝转移癌”入住我科,于2013.06.26行“CT引导下肝转移瘤射频消融术”,2013.06.27在全麻下行“腹腔镜下直肠癌切除术+横结肠造瘘术+左侧睾丸鞘膜翻转术”,术后病理PT4N2M1,术后恢复顺利,并予继续化疗等综合治疗,现定期门诊复查,未见复发转移,一般情况良好,生活质量高。


治疗前肝转移CT图片


治疗后复查肝脏CT图片




咨询服务热线:0591-83735858

地址:福州市台江区五一中路状元巷26号大院内1#楼2楼209单元

Copyright@2016 福建省医务工作者社会服务协会 版权所有